..:  Kakerlakenparade  :..
      Kakerlakenparade - Logo

Planarien und Egel im Aquarium



Planarien.
Planarie.


Planarien und Egel zählen im Aquarium zweifellos zu den wenig willkommenen Tieren. Dafür mag es manche Gründe geben, immerhin sind viele Planarien Räuber. Auch Egel sind als Parasiten und Blutsauger verschrieen. Viele fallen durch ein vermeintlich unästhetisches Äußeres auf. Diese Meinung teile ich nicht, sondern füge hinzu, dass diese Tiere durch ihren simplen, elementaren Körperbau, der einige erstaunliche Eigenschaften möglich macht, und durch die zweifellos reizvolle Farbgebung mancher Arten ihre ganz eigene Schönheit haben, vorausgesetzt, man wendet einen Maßstab an, der ihnen gerecht wird.

Im folgenden soll es um solche Tiere im Aquarium gehen, die durch ein wurmförmiges, weichtierhaftes Äußeres auffallen; das sind zum einen Planarien (Turbellarien), zum anderen Egel.




Planarien und Egel - eine Einordnung



Planarien und Egel sind zweifellos nicht gerade eng verwandt. Planarien können eigentlich als Vertreter einer Gruppe gesehen werden, die vornehmlich einfach gebaute und mikroskopisch kleine Arten umfasst. Die sichtbar großen Planarien stellen darin eine (riesenwüchsige) Ausnahme dar. Egel dagegen als Verwandte des Regenwurms sind deutlich komplexer organisiert und höher entwickelt So verfügt der Egel über ein röhrenförmiges Verdauungssystem, das von der Nahrung stets in gleicher Richtung durchwandert wird.

Lediglich ihre ähnliche Erscheinungsweise als längliche, wurmartige Organismen lässt eine Verwandschaft vermuten, die eigentlich nicht vorhanden ist.






Nachdem Planarien ein sackartiges Verdauungssystem aufweisen könnte man sie in die Nähe von Hohltieren stellen. Allerdings weisen Planarien, anders als die rotationssymmetrischen Hohltiere, bereits eine Zwei-Seiten-Symmetrie auf. Vermutlich stellen Strudelwürmer daher eine sehr frühe Organisationsstufe dar und bilden eine Zwischenstufe zwischen Hohltieren und Zweiseitentieren.




Planarien (Turbellaria)



Eigentlich ist der Begriff "Planarie" (wie auch "Scheibenwurm") kein biologischer Begriff; vielmehr bezeichnet er diejenigen Vertreter der Strudelwürmer (Turbellaria), die größer als wenige Millimeter werden und damit ins Auge fallen. Tiere, die in ihrer Größe darunter bleiben, nennt man auch Mikroturbellarien.


Der große Stamm der Plattwürmer (Plathelminthes) beinhaltet etwa 35 Ordnungen und etwa 20 000 Arten; ungeachtet der evolutiven Verschandschaftsverhältnisse werden sie klassischerweise eingeteilt in parasitischen Arten (Neodermata: Bandwürmer, Hakenwürmer und Hakensaugwürmer) und die freilebenden Strudelwürmer, die räuberisch leben.

Viele der nächsten Verwandten der Planarien sind also weltweit gefürchtet und berüchtigt als Parasiten, die Mensch und Tier lange Zeit und erheblich schädigen können. Zu den Krankheiten, die der Befall hervorruft, zählen etwa die Bilharziose, unter der in tropischen Gebieten etwa 250 mio Menschen leiden. Sie wird hervorgerufen durch den Saugwurm Schistosoma, der in menschlichen Blutgefäßen lebt. Andere Saugwürmer leben parasitisch in Darm (Darmegel, Fasciolopsis buski - allesamt keine Egel, sondern Plattwürmer -), in der Leber (Clonorchis sinensis) oder in der Lunge (Lungenegel Paragonimus).

Auch Bandwürmer befallen Mensch und (Haus-) Tier. Schweinebandwurm, Fisch- und Rinderbandwurm leben üblicherweise im Darm des Menschen. Eine Infektion des Menschen mit dem Fuchsbandwurm ist besonders dramatisch, da sich seine Eier in der menschlichen Leber (oder auch anderen Organen wie Milz oder Gehirn) tumorartig ausbreiten und heranwachsen. In der Regel sind solche Infektionen schleichend und tödlich.

Strudelwürmer und damit die Planarien leben allesamt nicht parasitisch sondern als Räuber und Aasfresser.

In freier Natur leben Planarien bevorzugt in pflanzenreichen Uferzonen von stehenden oder langsam fließenden Gewässern. Sie meiden direkten Sonneneinfall und bevorzugen kühlere Areale. Man findet sie daher in schattigem Gebiet meist eine Handbreit unter der Wasseroberfläche an frischen und abgestorbenen Stengeln oder auf der Unterseite von Schwimmpflanzen. Oft auch unter Seerosenblättern.



Planarien. Systematik.



Für Süßwasser und damit auch für die Aquaristik sind von den 6 oder 7 Ordnungen, die die Klasse Turbellaria beinhaltet, nur zwei Gruppen relevant: Die Rhabdocoelen, die mit wenigen Millimetern relativ klein bleiben und die Tricladen, die bei einer Länge von 1 bis knapp 2 cm die klassischen Vertreter der Planarien stellen. Von den in Mitteleuropa etwa 400 heimischen Arten stellen Rhabdocoela etwa 200, Triclades etwa 115 Arten.

Molekulargenetische Untersuchungen konnten diese Einteilung nicht bestätigen; womöglich sind die Neodermata eine aus den Studelwürmern hervorgegangene Gruppe (analog zu den Vögeln, die aus den Sauriern hervorging).



Körperbau und Lebensweise


Strudelwürmer verdanken ihren Namen dem Wimperkleid, das den ganzen Körper oder zumindest seine Unterseite umhüllt. Mit seiner Hilfe bewerkstelligen Turbellarien die Fortbewegung; kleinere Arten oder jüngere Tiere können sich damit elegant durchs Wasser bewegen. Bei größeren Tieren unterstützen kleine, nicht sichtbare wellenartig durchlaufende Muskelkontraktionen auf der Körperunterseite die Fortbewegung (wie bei einer Schnecke). Bei der Fortbewegung hinterlassen Turbellarien eine dünne, kaum sichtbare Schleimspur.

Die Organe der Turbellarien sind in ein Grundgewebe eingebettet, das als Bindegewebe und Trägerstoff fungiert. Weitläufig und dreidimensional vernetzte Bindegewebszellen sorgen für den Gewebezusammenhalt. Es ist umhüllt von einem Hautmuskelschlauch, der Längs- und Ringmuskelzellen enthält und auf dem die Außenhaut aufsitzt. In ihr befinden sich auch dir farbgebenden Pigmente. Ohne sie wären Planarien weißlich oder auch durchsichtig wie der Glasstrudelwurm Mesostoma.



Planarien, Körperbau.
Planarien: Körperbau.

Die Mündungen der Geschlechtsorgane wurden stark vereinfacht. Manche Gattungen verfügen neben eier- und spermaproduzierenden Organen auch über einen Dotterstock, der Dotterzellen erzeugt. Der Übersichtlichkeit hier weggelassen.




Fast alle Strudelwürmer verfügen über in die Haut eingelagerte Rhabditen, Sekretkörper, die schlagartig ausgestoßen werden können und dann schleimig aufquellen. Der so entstehende Schleim wird als Verteidigungsinstrument verwendet, aber auch zum Fang und Einhüllen der Beute. Die wenigen landlebenden Arten erzeugen aus ihm eine Schutzschicht gegen Trockenheit.

Der Mund befindet sich bei Planarien auf der Körperunterseite irgendwo entlang der Längsachse; Meist mittig aber auch weiter vorne, nahe des Kopfes oder weiter hinten. Bei vielen Arten ist der Mundöffnung ein schlauchartiger äußerer Mund vorgelagert, der in Ruhelage eingezogen ist und bei Bedarf ausgestülpt werden kann (Rüssel). Bei Beuteschlag versetzt er die mit Schleim bereit umhüllte Beute mit Verdauunssekreten und saugt die daraus entstehende breiige Masse in den Darm auf. Dort wird die Beute weiter verdaut und die Nährstoffe in den eigenen Körper aufgenommen.

Planarien verfügen über keinen After; ihr Darm ist im Prinzip sackförmig, wenn auch oftmals mit zahlreichen Verästelungen. Gerade diese Verzweigungen ermöglichen es, auch ohne Blutkreislauf jeden Bereich des Körpers mit Nährstoffen zu versorgen.

Planarien: Augen.
Augenreihe
Die im Darm verbleibenden Reste werden nach der Verdauung wieder durch den Mund ausgewürgt, anschließend wird der Sackdarm mit Wasser gespült.

Planarien verfügen über Exkretionsorgane, die in den Körper eingesickertes Wasser und unerwünschte Substanzen, die beim Stoffwechsel anfallen, sammeln und aus dem Körper hinaustransportieren. Meist sind das wenige bis sehr viele kleinste Kanäle, die ins Bindegewebe eingebettet sind und praktisch nicht sichtbar durch die Haut ins Freie münden.

Planarien: Augen.
Auge.
Durch ihre relative Kleinheit benötigen Planarien keine Atmungsorgane und keinen Blutkreislauf oder einen anderen aktiv betriebenen inneren Stofftransport. Da sie auch bei größeren Arten einen flachen Körper aufweisen, genügt die Diffusion, um sich mit Sauerstoff aus dem Umgebungswasser zu versorgen.

Der Kopf der Planarien ist schwach oder gar nicht von Körper abgesetzt. Er ist Träger von Gehirn und den meisten Sinneszellen. Bisweilen sind kleine Lappen seitlich ausgezogen (Aurikeln); auch sie sind dicht mit Sinneszellen ausgerüstet, vor allem Chemorezeptoren und Strömungssinneszellen. Tastsinneszellen, die mit Wimpern ausgestattet sind, befinden sich vermutlich verstärkt längs an den Körperrändern.

Soweit vorhanden, sind die Augen der Planarien als einfache Becheraugen ausgebildet. Dabei sitzen die Sinneszellen in der unteren Innenseite einer becherförmigen Grube, die selbst aus lichtundurchlässigem Material gebildet ist. Die Nerven, die die Information ableiten, verlaufen dabei an der lichtzugewandten Oberseite des Bechers und verlassen ihn durch dessen offene Oberseite. Bevor das Licht also die Sinneszellen erreicht muss es die praktisch lichtdurchlässigen Nervenzellen durchlaufen (inverses Pigmentbecherauge). Diese Augen ermöglichen lediglich ein grobes Richtungssehen, lassen also einen Schluss zu, woher das meiste Licht kommt. Ein Bild liefern sie nicht.

Planarien.
Jungtier
In direkter Nähe der Augen, erkennbar am Fehlen des Pigmente in der oberen Hautschicht, liegen die Flimmergruben, die beiden Zentren der Chemorezeptoren. Diese Sinneszellen dienen vor allem zum Aufspüren von Beute.

Planarien verfügen auch über Statocysten: In diesen bläschenartigen Gebilden, die aus einigen wenigen Zellen bestehen, liegt in einem kugelförmigen Hohlraum ein kleines, schweres Korn, etwa ein Sandkorn. Durch Bewegung reizt es Wimpern, die in den hohlen Innenraum ragen. Daraus ergibt sich die Richtung des Schwerefeldes und damit eine gewisse räumliche Orientierung. Bei Planarien befinden sich Statocysten in unmittelbarer Nähe des Gehirns.

Planarien. Paarung.
Paarung?
Oder Mundraub.
Das einfach gebaute Gehirn der Planarien liegt als paarig vorhandenes Cerebralganglion im Kopf, etwas hinter den Augen. Von ihm aus ziehen zahlreiche Nervenstränge zum vorderen Ende des Tieres, wo sich auch die meisten Sinneszellen befinden. In die hintere Richtung ziehen längs zwei Nervenstränge, die auch die Körperbewegung steuern. Sie sind in regelmäßigen Abständen durch ringförmige Verbindungen (Kommissuren) verschaltet.

Die klein bleibenden Rhabdocoelen weisen meist einen stabförmigen Darm auf. Sie ernähren sich von Kieselalgen, Bakterien und kleinen Protozoen. Nach Selbstbefruchtung bringen sie zunächst lebende Jungtiere hervor, die sich durch die Haut des Elterntieres bohren und so den Körper verlassen. Das Muttertier erleidet dabei keinen Schaden. In späterem Alter erzeugt das Muttertier Dauereier, die erst mit dem Tod des Individuums freigesetzt werden.

Planarienkokon.
Planarienei (?)
So einfach wie der Körperbau der Planarien zunächst anmutet, so komplex und unterschiedlich sind ihre Fortpflanzungsorgane. Planarien sind stets Zwitter, d.h. die männlichen und die weiblichen Fortpflanzungsorgane sind zeitgleich ausgebildet und funktionsfähig. Bei der Begattung befruchten sich die Planarien wechselseitig.

Bei manchen Arten hängt die Rolle bei der Begattung von Lebensalter ab; entsprechend wird zuerst derjenige Fortpflanzungapparat entwickelt, der zuerst zum Einsatz kommt. Wechselt das "Geschlecht", so verkümmert der Geschlechtsapparat, der nicht mehr gebraucht wird. Jungfernzeugung oder Selbstbefruchtung ist selten.

Die Fortpflanzungsorgane münden dabei teils getrennt oder in einer gemeinsamen Tasche (Atrium genitale). Die Eizellen werden zusammen mit nährstoffhaltigen Dotterzellen zu einem Kokon verbunden und teils lose abgesetzt, teils an Wasserpflanzen oder anderen Gegenständen, teil mit einem kurzen Stiel angeheftet.

Die Entwicklung ist bei Strudelwürmern stets direkt, es treten keine Larvenstadien auf; lediglich bei marinen Arten kommt ein frei schwimmendes Larvenstadium vor (Müllersche Larve).

Manche Arten, insbesondere der Gattung Dugesia, vermehren sich regelmäßig auch durch Teilung, indem sie sich etwa an der Körpermitte quer abschnüren. Der hintere Teil regeneriert sich zu einem vollständigem neuen Individuum gleichen Erbguts.



Planarien.
Gelege.
Planarien.
Einzelnes Ei.
Planarien.
Jungtier.



Planarien sind in der Lage, enorme Hungerstrecken von vielen Monaten durchzustehen. Dazu schmelzen sie körpereigene Substanz und auch weniger wichtige Organe ein und verlieren so sichtbar an Körpervolumen.

Die gleiche Strategie wenden sie an, um in den kalten Monaten im Winter zu überleben. Da die niedrigen Temperaturen ohnehin den Stoffwechsel reduzieren, überwintern sie in einer Ruhephase am Grunde ihres Weihers oder Sees, versteckt im Mulm und Schlamm.







Artbeschreibungen

Die Zuordnung eines Tieres zu einer Art ist mitunter nicht ganz einfach. Oft wechsel die Färbung etwas, und so sehr groß sind die Unterschiede zwischen den Arten auch nicht.



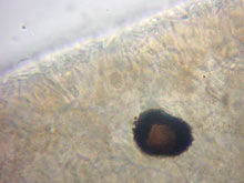
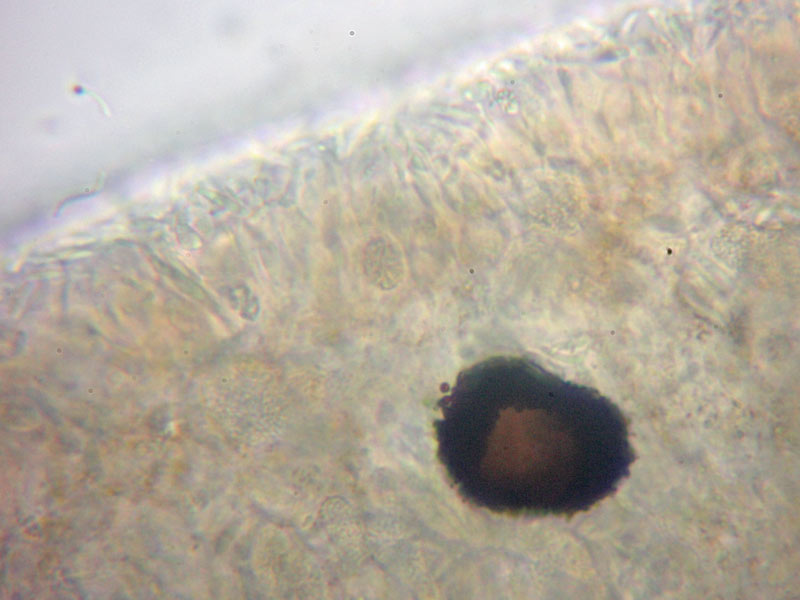
Mesostoma ehrenbergi
Mesostoma ehrenbergi.
Mesostoma ehrenbergi. Mesostoma ehrenbergi. Mesostoma ehrenbergi.
Der einzige Vertreter aus der Ordnung der Rhabdocoela, der eine Länge von 5 mm überschreitet. Dieses außergewöhnlich schöne Tier lebt in der stark bewachsenen Uferzone von Seen, wo sie mit selbsterzeugten, quasi unsichtbaren Schleimfäden Kleintiere wie Wasserflöhe und kleine Insektenlarven erbeuten. Die Mundöffnung liegt (gut sichtbar) etwas vor der Körpermitte, der Verdauungstrakt ist wie bei allen Rhabdocoela stab- oder sackförmig. Das weißliche Gewebe das den Darm umgibt sind männliche und weibliche Geschlechtsorgane (Dotterstock, Uterus, Keimdrüsen). Die beiden Augen liegen im vorderen Fünftel. Gesamtlänge 12 - 15 mm. Fortpflanzung entweder über Sommereier, die aus Selbstbefruchtung hervorgehen oder bei sexueller Fortpflanzung im Herbst über Dauereier, die durch den Tod des Muttertieres im Herbst frei werden und den Winter überdauern. Dauereier sind auf dem Bild gut sichtbar als hellbraune Objekte im Gewebe. (Der Kopf ist rechts oben.) Mehr zu diesem Tier hier.




Dendrocoelum lacteum
Dendrocoelum lacteum.
Dendrocoelum lacteum. Dendrocoelum lacteum. Dendrocoelum lacteum. Dendrocoelum lacteum. Dendrocoelum lacteum.
Unverwechselbar durch seine wunderbare milchig-weiße Färbung, durch die zart der Verdauungsapparat hindurchschimmert. Mit einer Länge von bis zu 25 mm einer der großen Vertreter der Planarien-Gruppe.

Liebt kühle, schattige Areale und kann sich im Vergleich zu anderen Plattwürmern relativ schnell bewegen.

Im Bild rechts: Dendrocoelum fängt einen Wasserfloh und versucht ihn, mit dem ausgestülpten Mund auszusaugen oder zu verschlingen.




Dugesia tigrina; Tigerplanarie, Tigerstrudelwurm, Gefleckter Strudelwurm
Dugesia tigrina, Tigerplanarie.
Dugesia tigrina, Tigerplanarie. Dugesia tigrina, Tigerplanarie.
Ursprünglich aus Nordamerika stammend waren es wohl Schiffe oder Aquarianer, die diese Planarie in europäischen Gewässern freisetzten, wo er sich seither stark vermehrt und in ganz Europa anzutreffen ist. Blickt man senkrecht auf den Kopf der Planarie, sind zwei punktförmige schwarze Augen zu erkennen, die in einer trichterförmigen Vertiefung versenkt und von einem farblosen Ring umgeben sind (Flimmergrube). Auch gut zu sehen: Die ohrenartigen Fortsätzse beidseitig des Kopfes (Aurikel). Länge bis 18 mm.

Temperaturunempfindlich und anspruchslos in der Wasserqualität stellen sie einen der seltenen Fälle dar, bei dem eine neu freigesetzte Art (Neozoon) sich bei den alteingesessenen Arten behaupten dürfte.




Polycelis tenuis
Polycelis tenuis.
Polycelis tenuis. Polycelis tenuis. Polycelis tenuis.
Die zahlreichen dunklen Punkte entlang der Seitenlinien der vorderen Körperhälfte sind einfache Augen. Sie sind charakteristisches Kennzeichen der Garrung Polycelis. Länge bis 15 mm. Sehr ähnlich, insbesondere die Augen, aber deutlich dunkler: Polycelis nigra.




Dugesia lugubris; Trauer-Strudelwurm
Dugesia lugubris, Trauer-Strudelwurm.
Dugesia lugubris, Trauer-Strudelwurm. Dugesia lugubris, Trauer-Strudelwurm.
Relativ anspruchslos gegenüber Temperatur und Wasserqualität. Oft schwart, manchmal grau-braun. Bis 18 mm Länge.





Regenerationsfähigkeit



Kopfspaltung.
36 Std. nach
e. Kopfspaltung
Ähnlich wie die Hydra verfügen Planarien über ein stupendendes Regenerationvermögen, das ihnen erlaubt, wesentliche Körperteile wie den Kopf nach einer Abtrennung vollständig und ohne Einbußen wiederherzustellen.

Ursache dafür sind die zahlreich im Bindegewebe eingelagerten Stammzellen (pluripotente Stammzellen). Bei einer Verletzung oder einer Abtrennung bildet sich über der Läsion zunächst eine neue Epidermis, unter der sich die Stammzellen sammeln (Wundblastem).

Diese Stammzellen differenzieren sich durch Teilung und bilden im Verlauf von einigen Tagen neues Körpergewebe.

Planarien.
Spontane Teilung (?)
Es drängt sich der Eindruck auf, die Regenerationsfähigkeit sei durch die stammesgeschichtlich niedrige Entwicklungsstufe möglich. Allerdings gibt es dazu einige Ausnahmen: Stachelhäuter wie Seesterne und Seegurken können mitunter sehr gut regenerieren; sie zählen zur gleichen Großgruppe der Deuterostomier (Neumünder) wie die Wirbeltiere. Auch Amphibien wie Molche und Salamander können manche Körperteile regenerativ ersetzen.

Andererseits sind einfache Gruppen wie Nematoden überhaupt nicht zur Regeneration fähig.

Eine direkter Zusammenhang zwischen Organisationsstufe und möglicher Regenerationsfähigkeit ist auf den ersten Blick nur sehr grob und tendenziell zu erkennen.

Eine solche Regenerationsfähigkeit erfordert die Anwesenheit von vielen pluripotenten Stammzellen. Gleichzeitig gelten diese Zellen als Anfangskeime für Tumoren. Vielleicht verhindern daher Körpergröße und Lebensdauer von größeren Wirbeltieren diese Selbstheilungsmöglichkeit.

Unterschiedliche Arten von Planarien sind unterschiedlich stark zur Regeneration fähig. Manche Arten etwa regenerieren am Hinterende deutlich weniger als am vorderen Ende. Mesostoma regeneriert kaum oder gar nicht.

Arten, die sich vorwiegend durch Teilung vermehren, regenerieren besonders gut. Vermutlich gibt es auch Arten (Dugesia sp.), die sich ausschließlich durch Teilung vermehren, sie sind vermutlich so wie die Hydra potentiell unsterblich.




Bekämpfung



Planarien können im Aquarium erheblichen Schaden anrichten, insbesondere wenn es sich um ein Zuchtbecken mit eierlegenden Fischen handelt. Planarien können aber auch den Laich von Schnecken und anderen Weichtieren anfressen und vernichten. Auch kleine Jungfische und frisch gehäutete Garnelen oder Krebse scheinen vor ihnen nicht sicher zu sein.
  • Natürliche Feinde

  • Durch ihren teils giftigen oder jedenfalls übelschmeckenden Schleim und ihre Abwehrfunktion durch die Rhabditen brauchen Planarien kaum natürliche Feinde zu fürchten. Zwar gibt es einige Fischarten, die als Funktionsfisch im Becken sich von Planarien ernähren, allerdings hat sich keine dieser Arten darauf spezialisiert, sondern weicht nur dann auf Planarien aus wenn sonst kein Futter zur Verfügung steht. Makropoden und auch Zwergfadenfische fressen gelegentlich Planarien; allerdings sollte man die Vergesellschaftung überprüfen und sie wegen der Diät vorzugsweise alleine im Becken halten. Eine sichere Methode, ein eingerichtetes Becken planarienfrei zu bekommen ist das nicht; Planarien werden scheu und können sehr lange hungern.

  • Absammeln und weniger Füttern

  • So viele man absammelt so viele wachsen nach - Absammeln hat nur psychologische Bedeutung für den Aquarienhalter. Was das Füttern betrifft: Der Bestand an Planarien lässt sich natürlich zurückfahren wenn weniger überschüssigen Futter liegenbleibt. Aber bevor die erste Planarie verhungert, ist bereit der letzte Fisch an Nahrungsmangel zugrundegegangen.

  • Köder und Fallen

  • Planarienfalle
    Planarienfalle
    Eine beliebte und wirkungsvollere Methode ist das Aufstellen von Fallen und Ködern in verschiedenen Varianten. Ein Stück Aquarienschlauch, einseitig verschlossen und mit einem Stück Fleisch (Gulasch oder nasses Katzenfutter, auch Fischfutter) präpariert lockt die Planarien an. Dunkelheit fördert dabei die Aktivität der Tiere. Sie kriechen in den Schlauch und können entfernt werden.

    Der Köderbehälter muss schnell und regelmäßig ersetzt werden, ansonsten verlassen ihn sattgefressene Planarien und vermehren sich munter weiter.

    Eine Konstruktion als Reuse hindert die Planarien am Verlassen der Falle; solche Behälter können über Nacht im Aquarium verbleiben und werden täglich entleert und mit einem neuen Köder versehen.

    Die Öffnung sollte stets nach unten weisen oder bodeneben sein. Der Eingang sollte etwas größer sein als ein kleiner Strohhalm; 5 mm Durchmesser sollten genügen.

    Mit viel Geduld ist dann das Becken irgendwann planarienfrei.

  • Knoblauch

  • Pro 10 Liter eine zerquetschte Zehe ins Wasser hängen und zwei Wochen darin belassen - manche haben mit dieser Methode gute Erfahrungen gemacht. Hilft nicht gegen Dauereier. Nebenwirkung: Aufgrund unsäglichen Geruches entfernt man nicht nur Planarien aus dem Becken sondern auch mitunter langjährige Lebenspartner aus der gemeinsamen Wohnung.

  • Temperatur

  • Planarien vertragen im allgemeinen keine Hitze. Eine Temperaturerhöhung auf etwa 60° C sollte ihnen so den Garaus machen. Allerdings hat sich sogar diese Methode als nicht zu 100% wirksam erwiesen - sei es dass einige Tiere überleben oder die Dauereier enorm hitzeresistent sind. Abkochen ist erforderlich, um sowohl alle lebenden Tiere als auch die Eier zuverlässig abzutöten.

  • Änderung des pH-Werts

  • Ob Mineralwasser zuverlässig alle Planarien abtötet, da habe ich meinen Zweifel. Essigessenz bei einer Einwirkzeit von 60 Minuten ist sicher die bessere Wahl. Dauereier sind auch dagegen resistent.

  • Strom

  • 4,5 bis 9 Volt an langen Kupferleitungen an den gegenüberliegenden Seiten des Aquariums eingebracht - orginell, aber kaum wirksam.

  • Chemische Eingriffe

  • Die meisten Präparate enthalten Kupfer und sind damit auch gefährlich für Welse und Wirbellose wie Schnecken und Garnelen. Eine Isolation (Prinzip Arche Noah) der gefährdeten Arten ist dann nötig.

    Flubenol (Wirkstoff: Flubendazol) ist ein Wirkstoff, der normalerweise bei Hunden, Katzen und anderen Haustieren gegen Bandwürmer eingesetzt wird. Auch gegen Planarien lassen sich mit ihm gute Resultate erzielen. Es existieren hierzu keine wirklich guten Empfehlungen zur Dosis und Anwendungsdauer, oft wird eine zwei- oder mehrmalige Anwendung von mehreren Tagen im Zeitraum von vier Wochen empfohlen. Damit sollen auch Planarien getroffen werden, die aus resistenten Dauereier frisch geschlüpft sind, bevor sie ihrerseits Dauereier ablegen. Unbedingt sollte man sich dazu in den entsprechenden Foren um einige aktuelle Erfahrungsberichte bemühren, speziell was die Dosierung betrifft. Flubenol scheint der am häufigsten eingesetzte Wirkstoff zu sein.

    Flubendazol unterbindet lebenswichtige Stoffwechselvorgänge innerhalb der Zelle. Die Planarie verhungert quasi mit vollem Magen. Zwar können Planarien lange Hungerzeiten überleben indem sie Körpersubstanz einschmelzen, doch auch dieser Prozess ist betroffen und kann nicht zum Einsatz kommen. Flubenol kann Schnecken töten, ist jedoch ungiftig für Garnelen und Krebse.

    Panacur verwendet einen ähnlichen Wirkstoff mit quasi gleicher Wirkmethode. Manche Fischarten reagieren empfindlich auf Panacur.

    ZMF Hexa-ex ( 2-Amino-5-Nitrothiazol) wird normalerweise gegen die Lochkrankheit verwendet. Kupferfrei.

    Concurat L (Levamisol) ist ebenfalls verträglich mit Wirbellosen und erzielt wohl gute Ergebnisse.

    Da tote Planarien giftige Stoffe ins Wasser entlassen sollte man unbedingt vor und während eines Chemie-Einsatzes tote und lebende Planarien absammeln und ködern. Auch ein Wasserwechsel ist hilfreich, sofern gleichzeitig mit einer weiteren Gabe die Wirkstoffkonzentration wieder hergestellt wird.


Im Großen und Ganzen sind Planarien außerordentlich hartnäckige Überlebenskünstler. Viele Methoden funktionieren sehr gut, aber einige Überlebende begründen alsbald eine neue Planarienpopulation. Eine Neueinrichtung und das Abkochen der übernommenen Einrichtungsgegenstände kann eine zuverlässige Lösung sein. Auch die Medikamente stellen eine gute Lösung dar, vorausgesetzt, man bringt empfindliche Arten vorher in sichere Quarantäne.

Auch ein Neubefall oder die Weiterverbreitung durch kleine Planarien, die an einem Kescher anhaften, ist durchaus vorstellbar.




***







Egel (Hirudinea)



Die Körpergröße eines ausgewachsenen Egels übertrifft die einer Planarie meist deutlich; augenfällig ist aber die unterschiedliche Fortbewegung: Während Planarien schneckenartig gleiten, bewegen sich Egel immer mit einem Saugfuß je am Kopf und einem am Körperende spanner- oder raupenartigartig. Der Leib streckt sich nach vorne, der Kopf sucht sich einen neuen Haltepunkt; der restliche Körper kontrahiert sich und zieht nach und der Fuß sucht sich einen neuen Haltepunkt. Starke Kontraktionen und Dehnungen sind die Regel. Um sich zu orientieren können Egel bei angeheftetem Fuß und langgestrecktem Körper einen relativ weiträumigen Bereich absuchen und ertasten.

In freien Wasser können auch viele Egel gut und schnell schwimmen, indem sie ihren Körper wie ein Aal bandartig bewegen; allerdings auf und ab.

Egel bewohnen seichte, pflanzenreiche Uferzonen von stehenden oder langsam bis mäßig schnell fließenden Gewässern. Einige Handbreit unter der Wasseroberfläche leben sie im schattigen Pflanzendickicht.



Einordnung





Egel, Systematik.


Branchiobdellida sind mit 8 - 10 mm kleinbleibende Egel, die auf der Körperoberfläche von Krebsen leben und dort teils Aufwuchs abweiden, teils parasitisch leben.

Die Acanthobdellida (Borstenegel) weisen nur eine einzige Art auf: Acanthobdella peledina, ein Parasit, der auf Lachsen schmarotzt.

  • Rüsselegel:
    • Großer Schneckenegel (Glossiphonia complanata)
    • Kleiner Schneckenegel (Alboglossiphonia heteroclita)
    • Gemeiner Fischegel (Piscicola geometra)
    • Vieräugiger Plattegel (Hemiclepsis marginata)
    • Entenegel (Theromyzon tessulatum)


  • Kieferegel:
    • Pferdeegel (Haemopis sanguisuga)
    • Medizinischer Blutegel (Hirudo medicinalis)
    • Mediterraner Medizinischer Blutegel (Hirudo verbana)
    • Europäischer Landblutegel (Xerobdella lecomtei),


  • Schlundegel:
    • Rollegel (Hundeegel; Erpobdella octoculata)
    • Freiburger Bächle-Egel (Trocheta intermedia)


Schlundegel und manche Kieferegel sind Raubtiere; sie ernähren sich von kleineren Beutetieren wie Insektenlarven und anderen, die sie hinunterschlingen.

Viele Kieferegel und alle Rüsselegel ernähren sich als zeitweilige Außenparasiten vom Blut meist wechselwarmer Wirbeltiere wie Fischen, aber auch Wasservögeln oder Schnecken. Diese Tiere verfügen über einen stark dehnbaren, voluminösen Magen, der eine große Menge aufgenommenen Blutes für lange Zeit speichert und allmählich verdaut.



Körperbau und Lebensweise


Der Körper eines Egels ist aus mehreren Segmenten aufgebaut, deren Anzahl artspezifisch festgelegt ist. Jeweils an Kopf und Hinterende sind einige Segmente zu muskulösen, drüsenreichen Saufnäpfen verschmolzen.

Der vordere Saugnapf ist vom Mundeingang durchbrochen und dient daher auch zum Festhalten bei der Nahrungsaufnahme.

Der Körper ist mit einem sehr muskulösen Hautmuskelschlauch ausgestattet, in dem außen Ringmuskulatur, dann sich diagonal kreuzende Fasern und innen eine kraftvolle Längsmuskulatur aufeinanderfolgen. Auch die Bauch- ud Rückenseite sind mit Muskelfasern verbunden, die das Körperinnere durchziehen.

Sinneszellen wie Tastsinn und Chemorezeptoren liegen in der Haut, mehrere Augen in unterschiedlicher Anzahl und Anordnung vermitteln ein grobes Richtungssehen.

Egelkokon.
Egelkokon
Die Egel sind systematisch eingeteilt nach der Form ihrer Fresswerkzeuge: Kieferegel weisen drei halbkreisförmige Kiefer auf; mit ihrer Hilfe dringen die Blutsauger durch die Haut ihrer Wirtstiere. Rüsselegel strecken einen schlauchartigen Fortsatz aus; auch verfügen sie als einzige über ein ausgebildetes Gefäßsystem. Schlundegel saugen ihre Nahrung ein.

Egel nehmen Sauerstoff über die Haut auf, Atmungsorgane fehlen.

Alle Egel sind Zwitter; teils wird das Sperma direkt übertragen, teils als Spermapaket auf die Außenhaut des Partners abgesetzt, von wo aus die Spermien durch die Haut in den Körper eindringen.

Die Eier werden in Kokons zusammengefasst. Von Turbellarieneiern sind sie in etwa durch ihre eher ovale Form zu unterscheiden, sowie durch je einen dunklen Punkt an den Polen.

Viele Egel betreiben Brutpflege. Bei manchen Arten sitzt das Weibchen über den Kokon und fächelt bei Bedarf frisches Wasser zu; andere Arten tragen den Kokon auf der Bauchseite mit umher. Der Nachwuchs des Kleinen Schneckenegels saugt sich in den ersten Lebenswochen nach dem Schlupf an der Bauchseite des Muttertieres fest.

Das Regenerationsvermögen der Egel ist gegenüber den Planarien erheblich vermindert - ein abgetrennter Kopf führt zwangsläufig zum Tod des Tieres.



Artbeschreibungen


Erpobdella octoculata; Rollegel, Hundeegel



Hundeegel, Rollegel; Erpobdella octoculata.
Hundeegel, Rollegel; Erpobdella octoculata. Hundeegel, Rollegel; Erpobdella octoculata. Hundeegel, Rollegel; Erpobdella octoculata.
Gehört zu den Schlundegel, die über einen muskulösen, stark dehnbaren Schlund verfügen, mit dem sie Beute wie Würmer und Kleinkrebse verschlingen. Kein Parasit, sondern Räuber. Die Augenstellung ist charakteristisch. Etwa 5- 6 cm lang, wobei eine "wahre" Länge wegen der Kontraktilität schwer wiederholbar zu messen ist. In Gewässern häufig und anspruchslos.

Als Flucht schwimmt der Rollegel auch durchs freie Wasser wie eine Seeschlange, allerdings schlängelt er dabei auf und ab.




Albiglossiphonia heteroclita; Kleiner Schneckenegel
Alboglossiphonia heteroclita. Kleiner Schneckenegel.
Alboglossiphonia heteroclita. Kleiner Schneckenegel. Alboglossiphonia heteroclita. Kleiner Schneckenegel. Alboglossiphonia heteroclita. Kleiner Schneckenegel. Alboglossiphonia heteroclita. Kleiner Schneckenegel. Alboglossiphonia heteroclita. Kleiner Schneckenegel.
Weit verbreiteter und häufiger Egel und ein außergewöhnlich schöne Art. Ernährt sich parasitisch von Schnecken und Würmern, die er anbohrt und deren Körpersäfte er aufnimmt. Bei Schnecken erfolgt der Angriff durch die Schneckenschale; trotzdem müssen Schnecken nicht zwangsläufig Löcher in ihren Schalen aufweisen. Vermutlich wachsen solche Verletzungen schnell wieder zu. Hält sich bevorzugt an Steinen oder an Wasserpflanzen auf. Immer kriechend, nie freischwimmend.

Die Nahrungssuche erfolgt meist nachts. An vollgesaugten Egeln sind die Verdaunngsorgane in einem charakteristischem Muster zu erkennen. Bilder: Links: Ein satter Egel. Rechts daneben: Hungriger Egel, der Verdauungsapparat ist leer. Weiter rechts: Egel, ca 3 mm lang. Vermutlich war die letzte Beute ein Tubifexwurm oder eine andere Gattung mit rotem Blutfarbstoff. Ganz rechts: Brutpflege beim Schneckenegel: Die Jungtiere sitzen an der Bauchseite des Muttertieres; deutlich erkennbar sind ihre Augen.




Augenstellung einiger Egelarten


Gemeiner Fischegel
Piscicola geometra
 
Hemiclepsis marginata
Schildkrötenegel
Placobdelle costata
Großer Schneckenegel
Glossiphonia complanata
Kl. Schneckenegel
Alboglossiphonia h.
Zweiäugiger Plattenegel
Helobdella stagnalis
Pferdeegel
Hämopis sanguisuga
Rollegel, Hundeegel
Erpobdella octoculata




Der Blutegel - eine Klarstellung


Das Setzen von Blutegeln stellt eines der ältesten medizinischen Therapien der Menschheitsgeschichte dar. Älteste Hinweise darauf datieren auf 3300 v. Chr. aus Mesopotamien.

Auch im antiken Griechenland wurde diese Methode propagiert und hielt sich in Europa bis ins 19.Jahrhundert. Zwar liefert der Speichel des Blutegels tatsächlich eine Reihe von medizinisch nutzbaren Substanzen, die z.T. heute wieder eingesetzt werden.

Allerdings wurde der Egel geradezu blindlings bei Krankheiten eingesetzt, bei denen ein Nachweis für die Wirksamkeit nie erbracht wurde. Selbst in Zeiten nach der Aufklärung und lange nach der Entdeckung des Blutkreislaufes behielt man diese Methode auch in gut informierten Kreisen bei.

Hätte man nur Egel verwendet! Die von ihnen entnommene Menge an Blut wäre nicht weiter schädlich gewesen. Aber man wollte gründlich vorgehen und verwendete spezielle Messer zum Aderlass, Flieten genannt oder Lasseisen;

Grundlage für die Theorie war die Annahme, Blut könne in den Adern verstocken und "schlecht" werden. Außerdem wurde ein Ungleichgewicht in den Körpersäften für Krankheiten als Ursache angesehen; dieses Ungleichgewicht könne man durch tüchtigen Aderlass wiederherstellen.

Schwer zu beziffern, wie viele Menschen ihr Leben dadurch verloren haben, einige Prominente der Weltgeschichte wie George Washington waren wohl dabei. Sie alle aber wurden mit dem Messer zur Ader gelassen, keiner von ihnen starb durch den Biss eines Blutegels.

Heute verwendet man Substanzen, die im Speichel des Blutegels vorhanden sind, vor allem in der plastischen Chirurgie um die Wundheilung zu verbessern. Venenentzündungen und (drohende) Trombosen werden mit diesen Substanzen behandelt, da sie blutgerinnungshemmend wirken. Auch zur Linderung von Schmerzen bei Arthrosen sind Inhaltsstoffe des Speichels nachweislich geeignet. Ebenso werden Sportsalbe und Kosmetikprodukte aus Egelspeichel hergestellt. Sie sollten die Durchblutung der Haut fördern. (All diese Substanzen sollen bei einer Egelmahlzeit die Blutaufnahme des Egels unterstützen; sie verhindern sowohl eine zu frühe Blutgerinnung in der Wunde und sorgen gleichzeitig für eine gute Durchblutung.)

Im Darm eines Egels können zahlreiche Protozoen und Bakterien siedeln; um Krankheitsübertragungen zu vermeiden, wird jeder Blutegel nur einmal verwendet und anschließend getötet.

Als Blutegel werden heute der Medizinische Blutegel (Hirudo medicinalis, Preussischer Blutegel) und der Ungarischen Blutegel (Hirudo verbana = Hirudo officinalis) verwendet. Es existieren noch einige weitere blutsaugende Arten, die zu den Hochzeiten der Egel europaweit gefangen, gezüchtet, gehandelt und oft ortsfremd wieder ausgewildert wurden.

Der Medizinische Blutegel Hirudo medicinalis steht heute in Deutschland und etlichen weiteren angrenzenden Staaten unter Naturschutz.



Bekämpfung


Das Einschleppen von Egeln in ein Aquarium ist ziemlich unwahrscheinlich; da Egel oder Egelkokons meist auf Pflanzen sitzen und so über Pflanzen eingeschleppt werden und Aquarienpflanzen meist in fischfreien Becken gezüchtet werden, sollten Egel sehr seltene Gäste in einem Becken sein.

Blutsaugende Fischegel schwächen nicht nur die Fische sondern sind auch potentielle Überträger für schädliche Mikroorganismen wie Flagellaten und andere.

Nicht alle Egel greifen Fische an; Schneckenegel beschränken sich ausschließlich auf Schnecken. Aber auch das kann ärgerlich und lästig sein.

Andererseits haben sich in den letzten Jahren auch durch Importe von Wirtstieren und Wasserpflanzen mehrere Arten von Egeln in mitteleuropäischen Aquarien etabliert und werden dort regelmäßig nachgewiesen. Da das Schadpotential dieser Tiere nur schwer abzuschätzen ist schreitet so mancher Aquarienhalter vorsichtshalber schnell zur Bekämpfung.

Auch in Gartenteichen, in denen etwa naturnah Kois gehalten werden, können saugende Egel auftreten, die durch Wasservögel o.a. eingeschleppt wurden. Da aber die meisten Egelarten nicht an Fische gehen sondern sich räuberisch von Kleintieren ernähren sollte man sich schon vergewissern, ob hier ein Massenauftreten eines Fischschädlings vorliegt.

Ein wirksames Mittel gegen Egel stellt Diflubenzuron dar. Es hemmt die Systhese von Chitin, schädigt also vor allem Weichtiere, Gliedertiere (Insekten und Krebse) und Pilze. Säugetiere und Vögel sind nicht von der Wirkung betroffen; auch Honigbienen erleiden keinen Schaden. (Eine differenzierte Einschätzung gibt es hier.)



Links



Die Hauptseite der Egel im Internet

     www.hirudinea.de


Speziell zur Haltung von Egeln:

     www.hirudinea.de/Heimtiere.htm


Artbescheibungen von Blutegeln:

     www.laubfrosch-niedersachsen.de


Eine Bezugsquelle

     www.blutegel.de


Ein Onlineshop

     www.hirucult.de







Zum Schluss



Planarien: Gruppenbild.
Gruppenbild
Egel und besonders Planarien hat wohl kaum jemand gerne in seinem Becken. Die beste Vorsichtsmaßnahme ist wohl eine vernünftige Isolierung: Beispielsweise nur selten Pflanzen zukaufen, und dann nur aus seriösen Quellen. Den Neuerwerb in Quarantäne stellen und bei Verdacht medikamentös oder mit Knoblauch behandeln.

Neben den hier vorgestellen Egeln und Planarien gibt es einge ganze Reihe von kleinen weißlichen Würmchen, die regelmäßig in einem Aquarium vorkommen. Sie erscheinen klein (unter 10 mm), weiß und fadenförmig. Sie zählen zur Ordnung der Oligochäten (Wenigborster). Der bekannteste Vertreter dieser Tiere ist wohl der Öltröpfchenwurm. Er und seine zahlreichen Verwandten, die im Aquarium allesamt sehr ähnlich aussehen, sind vollkommen harmlos und richten keinen Schaden an.

Von kleinen Planarien lassen sie sich im Mikroskop unterscheiden: Oligochäten besitzen einen röhrenförmigen Darm mit getrennten Ein- und Ausgang, eine abgesetzte Kopfform mit Mundöffnung und zumindest einige Borsten an der Körperlänsseite.

Abgesehen von Spezialisten oder Leuten wie mir, die Egel oder Planarien gerne in einem separaten Becken halten und züchten, sei jedem Aquarianer zugeraunt: Wohl dem der sie nicht hat.





19. Jun 2014











.:  :. 
 2006 - 2014 www.kakerlakenparade.de